近日,在新桥口腔接受治疗的李女士顺利完成了全部疗程。当她看向镜子,不由得绽放灿烂笑容,眼神中满是开心与满足。治疗结束后,李女士将一束精心准备的鲜花献给了她的主诊医生刘宇,祝福刘医生和她的团队……
近日,在新桥口腔接受治疗的李女士顺利完成了全部疗程。当她看向镜子,不由得绽放灿烂笑容,眼神中满是开心与满足。治疗结束后,李女士将一束精心准备的鲜花献给了她的主诊医生刘宇,“祝福刘医生和她的团队天天开心、平安喜乐。”李女士感慨道,“长久以来的口腔问题终于解决,我感觉一身轻松,真心感谢刘医生团队。”

技术圈粉 信赖选择
李女士多年前在其他口腔机构安装了前磨牙烤瓷冠。经过长期使用,烤瓷冠已经逐渐变得不密合,牙齿也开始隐隐作痛。因前不久在新桥种牙时亲身感受过新桥精湛的技术和贴心的服务,一直信任有加。本次她也毫不犹豫选择来新桥口腔就诊。

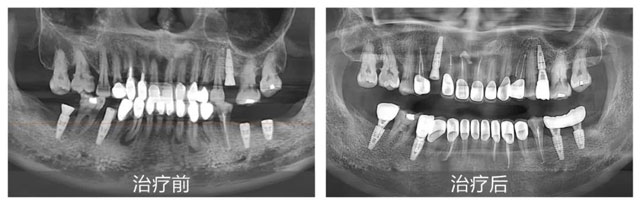
李女士治疗前后口内全景片
新桥口腔成都衣冠庙院区口腔全科医生刘宇为李女士进行了全面细致的面诊,结合全景片、CBCT、口内检查,再加上耐心的问诊,刘宇判断出李女士复杂的口腔状况:四环素牙、死髓牙相关性基牙颜色异常,牙冠边缘牙体龋坏发黑变色,严重影响美观;存在牙齿长期龋坏、牙神经发炎、根尖发炎等问题;而牙龈红肿出血、松散萎缩等牙周病问题更是让她的口腔状况雪上加霜。
全科“多面手” 全方位守护
李女士的口腔状况较为复杂,所涉问题横跨多个学科领域,修复治疗、口内治疗、牙周治疗需同时兼顾,这无疑是对医生综合能力的考验。刘宇医生凭借丰富的临床经验,为李女士量身定制了一套全面、科学的整体治疗方案。首先通过根管治疗消除根尖炎症,针对牙周病展开系统治疗,待牙龈恢复健康状态后,最后制作新的牙冠,全方位改善牙齿的外观与功能。此外,在牙龈恢复至健康状态前,考虑到李女士的日常用牙需求,刘医生特意为她安装了临时牙冠,让李女士在治疗期间也能正常饮食,尽可能减少治疗对生活的影响。

新桥口腔成都衣冠庙院区口腔全科医生刘宇
3个月蜕变 重拾口福
然而,治疗进程充满波折,李女士此前在其他医院接受过根管治疗,存在治疗不彻底、欠填、根尖炎症等问题,需要接受根管再治疗。其口腔内还打有金属桩,并且金属桩所处位置极为刁钻,既偏又深,这无疑给再治疗中的拆桩工作增添了巨大阻碍,堪称棘手难题。

李女士根管治疗拆冠前后对比
面对这一复杂状况,刘宇及其团队并未被眼前的困难吓退。他们充分借助显微镜的精准视野,搭配超声器械以及各类特殊定制的器械,在那极为狭小局促的口腔空间内精细操作,凭借精湛的技术与高度的耐心,一点点地将金属桩拆除,成功克服了这一难题。
经过3个月的精心治疗,李女士成功重获健康美观的牙齿。如今的她,能够自信地绽放笑容,开心的享受美食。
李女士回忆治疗过程表示,“这里的医护人员实在太贴心了!治疗结束后,他们隔三岔五就会回访,仔细地叮嘱治疗后的各类注意事项,时刻把我的恢复情况放在心上,让我心里特别踏实。我原本口腔问题一大堆,本以为要东奔西走跑好多地方才能解决,没想到在新桥口腔,所有问题一站式就全搞定了,真的太省心!”
口腔健康是全身健康的重要组成部分,它关乎我们的饮食、外貌,更影响着生活的幸福感。定期进行口腔检查,养成良好的口腔卫生习惯至关重要。当遇到口腔困扰时,及时咨询专业医生,为自己的口腔健康筑牢坚实防线,让生活始终洋溢着健康的笑容!