近日,在新桥口腔成都玉双院区刚结束定期检查的田女士,手捧鲜花,笑意盈盈地将花献给一直陪伴她治疗的医护人员,感慨道:这么多年,多亏了新桥口腔医护团队一路相伴。在这里,我不仅重新找回享受美食的快……
近日,在新桥口腔成都玉双院区刚结束定期检查的田女士,手捧鲜花,笑意盈盈地将花献给一直陪伴她治疗的医护人员,感慨道:“这么多年,多亏了新桥口腔医护团队一路相伴。在这里,我不仅重新找回享受美食的快乐,更收获了满满的温暖。”

田女士为医护人员献上花束
结缘新桥 重享口福
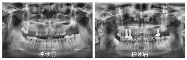
2019年,田女士深受缺牙问题困扰,日常简单饮食都成了难题,生活质量大幅下降,种植牙的想法愈发强烈。经过多方比较,她选择来到新桥口腔。

新桥口腔成都玉双院区的口腔修复医生代艳,为田女士进行了全面且细致的面诊。在获取田女士详细的体检报告,并进行全面综合评估后,代艳医疗团队确认其身体状况适合接受手术,于是果断定制了多颗种植修复方案。当天,田女士便顺利完成了手术。 田女士回忆治疗过程时说道:“这里的医护人员太贴心了!治疗结束后,他们有定期回访,仔细叮嘱治疗后的各类注意事项,时刻关注我的恢复情况,让我心里特别踏实。”
母子看诊 全家信赖
田女士种植手术当天,陪她一同前来的儿子许先生,被这里的服务吸引。在母亲看诊间隙,许先生咨询了正畸相关问题。新桥口腔成都玉双院区的口腔正畸医生王利,为他进行了详细面诊。结合全景片、CBCT、口扫检查结果,王医生判断其牙列不齐,考虑到成人正畸,矫正时间会稍长一些。最终,许先生决定接受矫正治疗。
许先生表示,“牙齿不齐一直困扰着我,我以为错过了换牙期的早期矫正就没办法了。也是在等母亲治疗时,抱着试试看的心态咨询的。我有很多不懂的地方,也有一些不太专业的想法,都跟王医生沟通了。王医生特别耐心,用通俗易懂的方式给我讲解,让我很安心。”许先生用两年半时间完成了矫正。如今,他牙齿整齐,笑容也不自觉地多了起来。
五年守护 暖心相伴
这五年间,田女士母子与新桥口腔的医护人员日渐熟悉、关系亲密。每次来定期复查,他们都会和医护人员聊聊家常,有时还会把自己亲手绘制的画作送给医护团队,以感谢他们一直以来的贴心服务。田女士表示,“新桥口腔陪伴我五年了。这五年,医护人员对我的关怀始终如一,定期提醒我注意事项和复查。说实话,这些细节里的暖心举动,让我特别惊喜。我也希望我的感谢,能让医护人员感受到温暖。”
新桥口腔始终坚持医疗为本、服务至上的理念,努力为每一位患者提供优质、高效、安全的口腔医疗服务。未来,新桥口腔将秉持求真务实的态度,持续服务广大市民,让每一位患者在新桥口腔都能深切感受到家一般的温暖与关怀,真正实现让患者放心、舒心、安心的就医体验。