吴叔叔曾经在某口腔诊所种了6颗种植牙,没想到短短几年后就陆续出了问题,断的断、掉的掉,让他吃饭都困难。决定重新种牙后,他不敢再去小诊所,打算去新桥口腔治疗。 就在吴叔叔要去种牙之前,在一次体检……
吴叔叔曾经在某口腔诊所种了6颗种植牙,没想到短短几年后就陆续出了问题,断的断、掉的掉,让他吃饭都困难。决定重新种牙后,他不敢再去小诊所,打算去新桥口腔治疗。
就在吴叔叔要去种牙之前,在一次体检中发现了疑似肿瘤的结节,种牙计划被无限期搁置了。面对更大的健康威胁,吴叔叔还能顺利种上牙吗?
种牙6颗 损兵折将剩两颗
2024年8月,吴叔叔吃饭时突然咬到了硬东西,吐出来一看竟是一颗牙,但他不觉得疼痛。一摸掉下来的位置,他才意识到这是一颗种植牙。
不久后,旁边的另一颗种植牙也折断了,算上之前牙冠脱落的下牙和整个脱落的另一颗上牙,当年种下的6颗牙只有两颗还能用。“嘴里的牙齿七零八落,饭都吃不得,莫奈何只有又去种新的!”

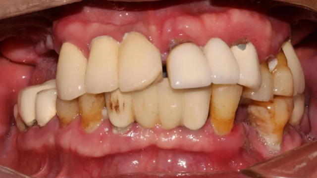
吴叔叔当时的口腔情况
屋漏又逢雨 种牙前查出肿瘤
在计划看牙前不久,吴叔叔的体检报告显示肺部有一个较大的结节,医生建议手术活检。9月,吴叔叔接受了手术治疗。所幸的是,诊断结果虽然是肿瘤,但尚处早期情况比较乐观,医生说可以不做放化疗,这为他后续的种植牙治疗创造了条件。
术后一周 迫不及待去种牙
由于接受的是微创手术,吴叔叔恢复很快。术后一周,惦记着种牙的他来到新桥口腔成都玉双院区,开始了二次种牙之旅。
得知他肿瘤患者这个身份后,余国庆医生非常理解他急迫的心情,“营养对肿瘤患者的术后康复很重要,牙不好,从食物选择到消化吸收都会受到影响。我和他的肿瘤主治医生沟通过,明确了他不需要做放化疗,而且他的出院报告显示各项指标正常,可以行种植牙治疗。”

新桥口腔成都玉双院区种植专科主任余国庆
经过检查,余国庆医生发现吴叔叔的口腔情况比较复杂。检查报告显示,他口腔里现存完整的种植牙只有两颗,上下颌各1颗。
“上面种了4颗,断了两颗,脱落1颗,只有1颗能用,下面有一颗牙冠脱落,另一颗有种植体周围炎,有明显的骨吸收。”吴叔叔剩下的天然牙也不好,做了几处修复,之前的牙冠修复用的都是烤瓷牙,有好几颗磨损严重露出了金属。由于存在缺牙、不良修复体等情况,口腔整体咬合紊乱,进食很困难。

治疗前口腔全景片
谈到原来的烤瓷牙牙冠为何被磨穿,余国庆医生说,这和烤瓷牙太薄、咬合太紧有关。“可能他当时的修复医生经验不足,未考虑到患者牙齿磨耗导致的修复空间降低,在设计修复方案时缺乏全局观,导致了这样的结果。”


精心设计方案 恢复全口咀嚼
作为医生,都希望尽量为患者保留天然牙,特别是面对吴叔叔这样一位69岁的肿瘤术后患者。但经过评估后发现,他上颌剩余的牙齿情况都很差,没有保留价值,下颌仅有4颗牙可以保留。
综合考虑后,余国庆医生建议他分两次完成种植手术,先种上半口,根据术后恢复情况决定下半口的治疗时间和治疗方案。

手术中拆除的种植体
“我们通过上半口即拔即种、即刻修复治疗,将他上面残留的种植体拆除,同时拔掉无法保留的牙齿,手术同期埋入6颗种植体,术后佩戴了临时牙冠。由于骨量不好,有3颗种植体采用倾斜植入,1颗做了上颌窦提升植入。”

上半口即刻种植后全景片
两周后吴叔叔回院拆线,完成了下牙的多颗种植治疗。别看下面的种植数量少,难度却并不低。据余国庆医生介绍,有一颗种植体采用的是倾斜植入,因为之前的种植体周围有感染,拆除种植体后只能在旁边一个极其有限的范围内种植,种植窝洞的位置需要非常精准,很考验医生的技术和经验。
虽然好事多磨,吴叔叔最终恢复了全口咀嚼功能,重新拥有了一口好牙。他不再担心因为进食困难造成的营养问题,积极地配合肿瘤医生进行后期的复诊和康复治疗,对未来充满信心。

下颌即刻种植后全景片
【案例分析】
用了几年的种植牙为何会折断?
余国庆:种植牙折断属于机械并发症,和种植方案设计、耗材选择等有关,这位患者7年前埋入的种植体太细太短,种植位置也不够理想,埋下了隐患。另一方面,我推测和他上颌左侧远端的一颗种植体脱落有关,这颗种植体脱落后改变了整个牙冠的受力,导致前面两颗种植体长期受力过大。综合分析,应该是以上两个因素共同导致了种植牙的断裂。
肿瘤患者等特殊人群的种牙难度大吗?
余国庆:种牙的患者以中老年人居多,这其中有不少人患有全身性疾病,甚至是肿瘤。对于他们的治疗,我们首先要严格掌握手术适应证,根据具体的个体情况去判断是否具备手术条件。
并不是说所有肿瘤患者都不能种牙,判断依据还是相关身体指标,有无接受放化疗,有无使用过一些手术禁忌药物等等。很多的肿瘤康复患者是可以接受种植牙治疗的,种牙有助于恢复口腔咀嚼功能,为患者的营养摄入提供最基本的保障,对肿瘤患者的术后康复和长期的营养治疗有着积极的意义。
【医生建议】
余国庆:种植牙的使用寿命是大家都很关注的问题,为什么有的人能用二三十年甚至半个世纪,有的人种完没用多久就出现了一些并发症,甚至发生折断、脱落这些极端的情况?
从专业上来说,这些问题主要分为机械并发症和种植体周围炎两个方面,前者主要和种植方案设计、种植体、牙冠、手术操作等有关,后者主要与患者对种植牙的清洁维护有关。建议种完牙后不暴力使用,遵医嘱定期复诊,像爱惜天然牙一样科学使用种植牙。