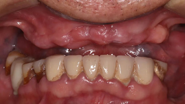
沈老师曾在青海某高校担任管理工作,退休没几年就遭遇了缺牙问题。从60多岁开始,他在当地医院陆续种了近10颗牙。遗憾的是,上面的牙种植了两三次都失败了,连牙冠都没装,就靠着仅存的几颗上牙和下牙慢慢……
沈老师曾在青海某高校担任管理工作,退休没几年就遭遇了缺牙问题。从60多岁开始,他在当地医院陆续种了近10颗牙。遗憾的是,上面的牙种植了两三次都失败了,连牙冠都没装,就靠着仅存的几颗上牙和下牙慢慢地磨,勉强吃些东西。
反复种植失败后,沈老师断了种牙的念头,几年下来牙齿松动、脱落愈发严重,能用的牙越来越少。沈老师的几个子女都是医生,唯独没有口腔科医生,大家看在眼里急在心上。

沈老师的上牙全部缺失
医生儿子“打前站” 父子跨省种牙
转机出现在2022年10月,沈老师的小儿子来四川大学华西第二医院儿科进修期间,在新桥口腔种了6颗牙,他对效果非常满意,便提议父亲也来成都试一试。此时的沈老师已经70岁,上半口牙已掉光,饮食非常不便。犹豫再三后,沈老师决定再搏一把。
2023年6月,沈老师在小儿子的陪同下前往成都求医,并预约了新桥口腔成都衣冠庙院区种植专科主任易华波医生。

新桥口腔成都衣冠庙院区种植专科主任易华波
经CBCT检查所见,沈老师的口腔情况比较复杂:下面原有的四颗种植牙只有一颗有牙冠,其余三颗种植体情况尚可,可以安装牙冠,上半口牙列缺失,牙槽骨里还埋着一个种植体。“这颗植体的位置没有骨板,不能受力,没有安装牙冠的条件。好在它位置在正中,不影响种植手术和牙冠修复。”
幸运的是,这颗遗留种植体的周围组织没有炎症,无用也无害,为了减少创伤,易华波医生没有拔除它。

治疗前口腔全景片
半口种植当天有牙 几千公里没白跑
作为一位从医近30年的资深口腔种植医生,易华波见过很多种植失败的案例,他表示,并不是所有人都有补救机会。沈老师的情况虽然有一定难度,但他的牙槽骨条件是可以再次种植的,只是对医生的技术和经验有一定要求,需要采用一些特殊术式并选择适合的植体。初步沟通后,易华波医生为他订制了上半口无牙颌种植方案。

“我们通过ALL-ON-6即刻种植即刻修复,来恢复他上半口的咀嚼功能。因为他骨质骨量都比较差,在手术同期植入了大量骨粉,部分位置采用了倾斜种植。”
由于骨质条件无法承受常规种植体的长度和直径,易华波医生为沈老师选择了ITI瑞锆种植体,“他牙槽骨的垂直高度和水平宽度都不足,只能选择这种比常规种植体更细、更短的型号,种植后才能实现良好的骨结合,达到和常规种植体一样的远期效果。”
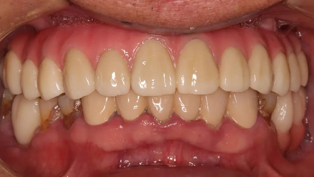
种植手术完成后,沈老师戴上了临时牙,上半口的咀嚼功能得到恢复,嘴巴也不再瘪瘪的了。看着镜子里那一排似曾相识的上牙,他感觉像做梦一样,回想起这几年所受的折磨,他感慨不已。


治疗后口腔全景片
迟到的口福要分享 亲友纷纷来种牙
沈老师种牙成功的事在亲友中传开了,大家纷纷向他打听在哪种的牙,他向哥哥等几位亲友引荐了易华波医生。希望他们也能早日种好牙,享口福。得知易华波医生会不定期前往新桥口腔西宁院区出诊,亲友们更加坚定了种牙的决心。
2024年,沈老师的哥哥等几位亲友也陆续完成了种植手术,其中一位和他一样也做了半口种植。“上次我去西宁院区会诊时他还来复查过,情况挺好的。”因为情况特殊,易华波老师至今还记得沈老师的名字和病情。
虽然结局圆满,但因为之前失败的种牙经历,沈老师遭受了不少身心创伤和经济损失。在种牙这条路上,如何少走弯路,减少失败的概率?以下是易华波医生关于该案例的一些心得分享。

完成上半口戴牙后
【案例分析】
相比几年前,沈老师的牙槽骨条件更差,为何反而能种植成功?
易华波:他这次种植能成功有几个关键点,一是种植位置选择,二是种植体,三是植骨,另外,半口种植的牙冠是桥架,种植位置选择相对灵活,更适合骨头条件差的人。
可以分析一下他之前种植失败的原因吗?
易华波:首先,他自身的骨头条件不好,这就增加了种植难度,对于种植位置的选择需要更谨慎,这直接关系到种植能否成功。他的情况,需要选择骨头好的地方种,或者做植骨,还可以采用特殊术式,另外,可能还和医生的技术、经验等因素有关。他下面的几颗种植牙虽然能用,但通过片子可以看到恢复也不是很好,骨吸收比较明显,没有达到理想的种植效果。
之前几颗上牙都种植失败了,和种植体有关吗?
易华波:这种可能性是存在的,之前种植时医生推荐的是比较便宜的韩系常规种植体,如果他的骨头条件差,常规型号可能不太适合。另外,医生不一定对主流品牌各个型号的种植体都有丰富的手术经验,或者因为当地医院能提供的品牌不多,在种植体的选择上就比较局限。实际上,种植方案和种植体的选择应该从骨头条件出发,而不是从费用出发,医生应该给出专业的建议,以保障种植的成功率。
【医生建议】
易华波:牙槽骨条件是决定种植牙治疗能否成功的关键因素,如果骨质、骨量不佳,在种植方案和种植体的选择上需要更加慎重,才能提高种植的成功率。如果种植失败,牙槽骨的损伤需要一定的时间恢复,反复种植失败,骨头条件只会越来越差,可能失去再次种植的机会。