主页 > 主诊项目 > 牙病防治 > 四环素牙 >

四环素牙修复多少钱

2019-06-10 14:49  来源:未知  责任编辑:admin  点击数:

导读

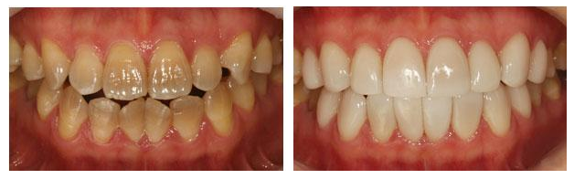
不管是职场,还是生活中,拥有一口四环素牙,总是会觉得逊人三分。如果有四环素牙,该怎么修复,需要多少钱呢? 四环素牙治疗费用大概是多少 四环素牙治疗费用大概是多少》》……

不管是职场,还是生活中,拥有一口四环素牙,总是会觉得逊人三分。如果有四环素牙,该怎么修复,需要多少钱呢? 

四环素牙治疗费用大概是多少

四环素牙治疗费用大概是多少》》》点击咨询价格

新桥口腔医生表示,治疗四环素牙的价格由很多因素来决定,每个患者的情况都不同,其对应的治疗方法自然也有差异,价格也会有差别,下面我们来具体了解一下。

1、有色牙的程度

一般来说,四环素牙分为轻度、中度和重度三种,医生会根据四环素牙的不同程度,基于您的意愿,采用不同的治疗方式,所以四环素牙的程度不同,其价格也存在一定的差异。

2、患者的牙齿情况

在新桥口腔,进行四环素牙治疗之前,医生会对患者的口腔情况做一个全面的检查,若发现还存在其他龋齿或炎症,则需要先去除这些炎症再治疗四环素牙,因此,不同牙齿情况,其治疗的费用自然也会有所不同。

3、治疗方式的不同

目前,对于治疗四环素牙的方法有很多种,在新桥口腔有美国Beyond冷光、自然皓齿、瓷贴面等多种方式可供选择。当然,不同的治疗方法其材料、性质等方面都会存在很大的差异,因此,在价格上也会受到很大的影响。

【四环素牙推荐两种方法】

一、美国Beyond冷光

采用低温冷光,避免对牙髓损伤,舒适度高;全面涂抹无害美白材料,一次照射,美白效果更持久;可去除牙齿表面的色素沉积,可达到脱色的效果。

二、3D超薄瓷贴面

针对重度色素牙,天生黄牙,它突破传统烤瓷牙的各种弊端,它无需或少磨牙,不会伤及原牙,全部诊疗时间不超过两小时,只需在牙齿表面轻轻一贴,就能摆脱四环素牙,氟斑牙,牙列稀疏困扰,轻松拥有明星般靓丽美牙。

上一篇:没有了
下一篇:做牙齿美白会痛吗?