一般来说,我们大多数人对于除了门牙之外的牙齿缺失,更多的采取了忽略态度。在对牙齿的要求上,我们更多的还是停留在基本的美观和功能层面。 其实一颗牙齿缺失以后,对口腔健……
一般来说,我们大多数人对于除了门牙之外的牙齿缺失,更多的采取了忽略态度。在对牙齿的要求上,我们更多的还是停留在基本的美观和功能层面。
其实一颗牙齿缺失以后,对口腔健康的危害远远没有停止,它还会对两侧邻牙、对合牙、其他牙齿造成直接或间接的伤害,危害波及整个口腔。

1、邻牙松动,又掉2颗
首先,牙齿缺失后,如果不及时治疗会导致邻牙松动:牙齿缺失后,相邻的牙齿会因为没有固定的依靠,向缺牙间隙倾斜,时间长了会造成周围邻牙的松动,致使全口牙齿的正常功能遭受严重的破坏。

2、对牙伸长,再掉1颗
牙齿缺失不及时治疗会导致对侧牙伸长:由于缺牙后的间隙不能及时修复,侧牙因无咬牙合会伸长,例如下牙缺了一个牙,长期得不到修复,上面相对应的那颗牙则会有伸长现象。严重还能占据整个缺个间隙,造成牙齿无法修复,导致咬合紊乱。

3、食物嵌塞,口气根源
牙齿缺失不及时治疗会容易使食物嵌塞:正常牙齿与牙齿之间,排列得十紧密,一旦邻近的牙齿移动,牙齿与牙齿之间就会出现缝隙,容易使食物嵌塞到牙齿间隙里,从而引起口臭、龋齿、牙周病等。

4、细菌堆积,龋齿难防
牙齿缺失会引发龋齿(蛀牙):牙齿缺失会导致食物的嵌塞,这样的话食物嵌塞到牙齿间隙里,是很不容易清洁干净的,长时间的细菌堆积就会造成龋齿。

缺牙就选种植牙让您的缺牙即刻重生
种植牙,其全称为人工种植牙,是将人工牙根(种植体)植入缺牙部位的牙槽骨内,当种植体与牙槽骨结合后,再在上面接一颗逼真的烤瓷牙。种植牙牢固美观,舒适耐用,被誉为“人类的第三副牙齿”。

种植牙的优点
1、它的咀嚼功能大大优于其它假牙;
2、具有很强固位和稳定性,可象真牙一样扎在患者的口腔里;
3、可少磨或不磨自己的真牙;
4、不需要活动牙必备的基托和卡环,没有大面积的基托导致的味觉迟钝与不舒适感;
5、体积小不外露金属、美观,更有利于保持口腔清洁卫生。
6、对于某些用传统假牙修复困难或效果不佳的患者,口腔种植牙更具优越性。
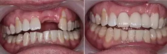
种植牙前后对比
