新桥口腔半口全口种植团队医生专访……


"夏夜虫鸣中,父亲挎着磨出包浆的木质药箱渐渐消失在田埂尽头的一幕,成了余国庆最初的职业启蒙。余国庆的父亲是备受尊敬的乡村医生,他自幼便目睹了父亲在无数个日夜里不辞辛劳为乡亲们看病的身影,言传身教下,一颗学医济世的种子也在他的心中悄然种下。"
受父亲的影响,余国庆从小就对医学充满了向往。多年前,成绩优异的他根据自己的理想考入了口腔医学专业。
“以前读书国家还包分配工作,甚至帮忙解决户口问题,只要考上就意味着端上‘铁饭碗’。”在当时社会,学历就是时代精英的代名词。

新桥口腔成都玉双院区种植专科主任余国庆
告别“铁饭碗” 孤身南飞
毕业后,余国庆被分配到某镇卫生院,彼时乡镇医疗条件有限,资源匮乏,仅有老式牙椅和简易器械,治疗手段以拔牙、补牙和镶牙为主,居民们也基本不把牙齿上的问题当回事。面对资源匮乏的诊疗环境,余国庆内心十分渴望接触更先进的口腔医疗技术和理念。
不破不立,在一番思索后,余国庆主动选择突破“舒适圈”,买了一张南下的绿皮车票孤身前往广东追求更广阔的天地和发展机遇。“那时沿海地区的口腔诊疗技术比内地更先进,医生能够更快地成长,而且我始终觉得年轻的时候一定要出去闯一闯。”
彼时正逢民营口腔机构蓬勃发展的黄金期,余国庆加入了一家连锁口腔机构,从全科医生做起,在这里,先进的医疗设备让他大开眼界,并接触了曾经在校园里没有见过的复杂病例和前沿的治疗方法。
为了尽快弥补技术上的差距,余国庆开启了“白+黑”的学习模式:白天,扎根临床打磨技术,对每一个病例都精心准备、反复研究;夜晚,则埋头于专业书籍和最新研究文献中,不断吸收前沿知识,将理论知识与临床实践深度融合,不断夯实自己的专业能力。
进修深造 深耕种植修复
随着种植修复在国内的迅猛发展,余国庆对种植学科展现出了浓厚的兴趣。秉持“医道无穷,惟勤是岸”的信念,2004年,余国庆前往武汉大学口腔医学院继续深造。在武汉大学求学期间,他顺利进入广州军区武汉总医院(现中国人民解放军中部战区总医院)工作,专注于口腔修复临床一线工作。

中国人民解放军中部战区总医院(原广州军区武汉总医院)
从业多年来,余国庆见过无数因选择不适合的活动假牙或烤瓷牙而导致牙齿状况恶化的病例,也目睹了其他不少由于种植方案设计不当导致失败的情况。在他看来,口腔修复的核心在于减轻患者的痛苦,手术一定要安全性高、损伤小、成功率高,同时减少患者的诊疗时间和失牙痛苦,相比传统吸附义齿,种植牙不用每天摘戴、清洗,日常清洁便捷且使用寿命更长,已渐渐成为绝大多数顾客的优先之选。
为了更好地服务患者,学习种植修复的国际前沿技术,余国庆曾远赴德国著名牙科学府——弗莱堡大学深造,他重点学习了微创数字化种植导航技术,通过计算机3D模拟技术,预先模拟种植全过程及预期效果,依据精准计算出的路径进行种植牙手术和牙冠修复,这种技术如同给种植牙手术配备了导航系统,使得手术更加迅速、安全且精确,大大提升了手术的成功率和患者满意度。

蜀道求真 收获“铁杆粉丝”
2014年底,余国庆了解到成都口腔种植发展势头迅猛、市场潜力好,为了寻求更广阔的发展平台,在妻子全力支持下,余国庆毅然从原广州军区武汉总医院离职,举家迁往成都,之后他先后在两家口腔机构从事种植工作,积累了丰富的临床实践经验。2023年10月,余国庆受邀加入新桥口腔,正式成为成都玉双院区核心种植专家。

新桥口腔“种牙真功夫”数字化种植手术直播现场
在临床工作中,余国庆始终秉持“以患者为中心”的服务理念:术前细致分析患者口腔数据,结合年龄、身体状况、骨质条件等因素制定个性化方案;术中严格遵循医疗安全规范,以毫米级精度确保种植体完美契合牙槽骨。更难能可贵的是,他总是设身处地站在患者角度着想,坚持“能保不拔”的诊疗原则——“不到万不得已不放弃任何一颗天然牙”。
“和种植牙相比,天然牙的牙周膜可以在我们日常进食咀嚼的时候调整咬合力度,避免咬合创伤。所以能为顾客保住天然牙就尽量保住,实在没办法的时候我们才考虑拔牙后进行种牙修复。”但这也意味着他要付出更多时间和精力,甚至放弃种植牙带来的经济效益。
余国庆医生的助理也表示,在工作中,余医生从来都是不急不躁,踏踏实实,他的每一个种植案例都是漂漂亮亮的,绝不做流水线工作,这是他的准则。

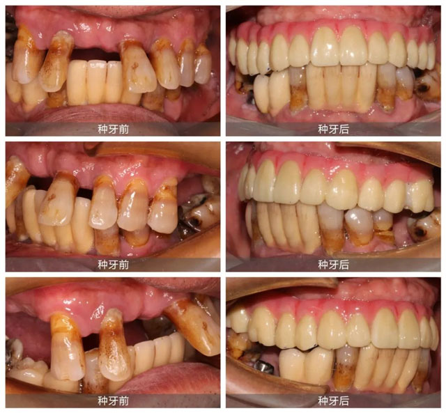
十年蓉城行医路,余国庆以精湛技术和医者仁心得到了患者的广泛认可和信任,有不少以前的老患者还会专程追着余国庆来种牙。60岁的邹叔叔就是他的“铁杆粉丝”之一。9年前,邹叔叔下颌前牙就是余国庆种的,使用效果一直很好。现在邹叔叔上半口牙也出了问题,专门来到新桥口腔指定余国庆来负责自己的上半口种植手术。

邹叔叔上半口即刻种植术前术后全景图
为了改善邹叔叔的口腔健康状况,余医生首先为他进行了上颌牙的残根拔除,在经过详细的术前评估,确认一切安全后,在全程心电监护下完成了上半口即拔即种手术,并在当天佩戴了临时牙冠。术后,邹叔叔感觉良好,如今,他不仅成功恢复咀嚼功能,更成了新桥口腔的“义务宣传员”,逢人便推荐余国庆医生的“金口碑”。
笃学不倦 厚植技术根基
从医二十余载,余国庆在工作之余从未停止过学习的步伐,他表示,口腔种植修复是个发展很快的领域,唯有不断追求进步才能为患者提供更优质的医疗服务。因此,无论多么忙碌,他都会抽出时间参与国内外的专业论坛,积极参加培训,与同行交流学习。
与此同时,他还积极做好传帮带,将自己的技术经验毫无保留地教给团队成员。手术之余,通过详细的病例讨论,帮助年轻医生迅速提高。在他看来,只有通过不断地交流与思想碰撞,才能更好地提升技术水平,从而更加负责任地服务于每一位患者。

时光荏苒,曾经种下的种子早已长成参天大树,而余国庆依旧秉持着初心,用自己的方式延续着那份来自父辈的荣耀。