医术精湛正牙美 服务贴心暖人心 感恩在矫正之路 有您们专业相伴 近日,在新桥口腔成都衣冠庙院区上演了暖心一幕:刚刚结束正畸矫治的邓女士,满怀感激地将定制锦旗送到了正畸医生郝璐……
“医术精湛正牙美 服务贴心暖人心 感恩在矫正之路 有您们专业相伴”
近日,在新桥口腔成都衣冠庙院区上演了暖心一幕:刚刚结束正畸矫治的邓女士,满怀感激地将定制锦旗送到了正畸医生郝璐手中。

童年执念 告别牙齿“错乱”
回忆童年,曾经那一口“错位”的牙齿至今令邓女士耿耿于怀:“从换牙开始,我的牙齿就参差不齐。和班上同学聊天的时候也会忍不住想,为什么别人的牙齿整整齐齐,而我的就歪七扭八。想得越多,笑起来就更加小心翼翼,特别不自在。”
每次微笑时下意识抿嘴的小动作,都在无形中削弱了邓女士的自信心。随着年龄的增长,这份对于牙齿整齐的渴望并未减退,反而愈加强烈。
2023年11月,在经过一番网上咨询后,邓女士终于怀着满心期待走进了新桥口腔。

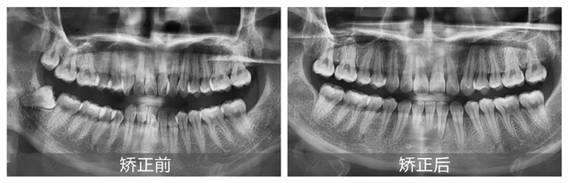
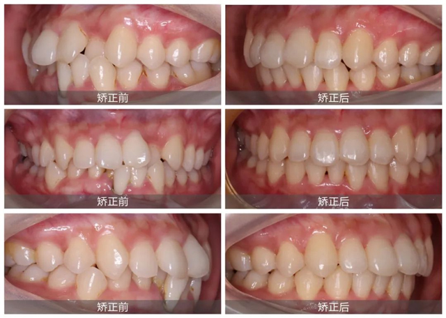
经过详细面诊,并根据口扫、CBCT检查结果显示,邓女士主要面临的问题有上颌牙列中度拥挤、下颌牙列重度拥挤,并且有一颗下切牙由于长期的拥挤已经出现牙周炎症状。
郝璐医生指出,因为牙齿过于紧密,邓女士的下前牙排列错位,形成了咬合创伤,同时伴有牙槽骨吸收和牙龈萎缩的情况。此外,上颌左侧切牙和右侧尖牙反颌,造成了上下颌牙弓不对称,上下颌中线不一致,前牙深覆合。这些情况在邓女士张口说话时很容易就能注意到,严重影响了面部美观。

美学矫正 绽放自信笑容
郝璐医生表示,针对邓女士的情况,治疗的主要目标是解除牙列拥挤情况,调整反颌关系,消除咬合创伤,从而改善整体口腔健康状况。
在与顾客充分沟通后,郝璐医生制定了个性化的矫正方案:
1、为缓解下颌重度拥挤,首先拔除下颌前牙错位的一颗牙齿,避免歪牙继续损伤牙槽骨和牙龈。
2、采用金属矫治器配合上颌片切技术,为排齐上牙腾出少量空间,减少拔牙量,并排齐整平上下牙列,纠正反颌现象。
3、并使用平面导板技术打开咬合,压底下前牙,减轻前牙深覆合问题,同时调整上下中线至理想位置,笑起来更对称。

随着时间推移,邓女士每次复诊都能看到自己的牙齿在一点点变得整齐,在这个过程中,她始终严格按照嘱咐,认真清洁牙齿保持口腔卫生。
经过一年零三个月的精心矫正,在取下牙套的那一刻,邓女士不仅圆了儿时的梦想,更重拾了那份因自信笑容而带来的快乐:“这一切都是值得的,每天看着变得这么好看的牙齿,感觉自己整个人都不一样了!”
【知识点】该案例选择金属托槽矫治器的优势有哪些?
金属矫正对于仅涉及牙列拥挤的患者,排齐效率高,矫治疗程更短,同时对于顾客来说更加经济实惠,整体性价比高。
【知识点】牙齿拥挤会带来哪些危害?
牙齿拥挤是口腔正畸中常见的问题,指牙齿排列不齐,导致相互重叠、错位。这种情况不仅影响美观,还可能带来以下问题:
1、牙齿清洁困难:牙齿拥挤不易清洁,食物残渣长期滞留容易滋生细菌,增加患龋齿和牙龈炎的风险,牙周病也更容易在拥挤的牙齿周围发生,导致牙龈红肿、出血和牙齿松动。
2、影响外观:牙齿不齐会影响笑容美观,严重者可能造成口唇闭合困难形成开唇露齿的面容。
3、降低咀嚼效率:长期牙裂拥挤可能导致牙齿错位和畸形,影响正常咬合关系从而造成咀嚼效率降低。
郝璐医生小贴士
牙齿拥挤不仅影响美观,还可能对口腔健康产生多方面的负面影响。早期预防和及时干预对于改善牙齿拥挤、保护口腔健康至关重要!