年后,城市从春节的闲适氛围中缓缓苏醒,大街小巷再度充满忙碌的身影。新桥口腔医院内,韩沛也投身到新一轮的忙碌之中,刚结束一台种植手术的他,来不及片刻休息,又马不停蹄地迎接下一位患者。 1992年,韩……


"年后,城市从春节的闲适氛围中缓缓苏醒,大街小巷再度充满忙碌的身影。新桥口腔医院内,韩沛也投身到新一轮的忙碌之中,刚结束一台种植手术的他,来不及片刻休息,又马不停蹄地迎接下一位患者。"
1992年,韩沛出生于江苏,成长在科技飞速发展的90年代,他对新事物有着与生俱来的好奇。家里的新奇玩意儿、前沿知识,总能一下子激发他探索的热情。儿时的韩沛常常看到母亲被牙疼折磨得很痛苦,所以高考填报志愿时,他毫不犹豫地选择了口腔医学专业,立志成为一名优秀的口腔医生,帮助母亲和更多人摆脱牙疼的困扰。如今,凭借扎实的专业实力和良好口碑,他赢得了无数患者的信赖,收获了众多“看牙铁粉”。
不以山海为远 奔赴藏区
2016年,大学刚毕业的韩沛,怀着对医学事业的满腔热忱,毅然踏上了支援西藏边区的道路。刚到藏区,恶劣的自然环境便给他来了个“下马威”。稀薄的空气与极低的气温,瞬间让他陷入身体与精神的双重困境。每一次呼吸都像是在拉扯肺部,头晕目眩如影随形,身体的不适让他举步维艰。但他没有丝毫退缩,心中强烈的使命感驱使他迅速调整状态,积极投入到新的工作岗位中。

援藏期间,韩沛担任日喀则市人民医院口腔科全科医生。藏区医疗资源极度匮乏,医疗设备陈旧短缺,药品储备也时常不足。但这些困难并没有阻挡他前行的脚步,他常常在定日县与日喀则市区之间来回奔波,崎岖的山路、颠簸的车程,成了他行医路上的日常。
每年,他都会去海拔4800米的驻村点,一待就是3到4个月。驻村期间,他背着简单的医疗设备,穿梭在各个村落之间。高原的阳光炽热又刺眼,但他从来没有抱怨过。遇到需要治疗的患者,他总是用温和的语言安抚他们紧张的情绪,然后全神贯注、认真细致地进行治疗。

尽管藏区条件艰苦,但这段经历却为韩沛的职业生涯带来了独特的成长机遇。受限于当地的资源条件,患者的口腔状况复杂多样,韩沛在这里遇到了许多在城市里难以见到的复杂病例,这反而为年轻的韩沛提供了广阔的成长空间。在日常工作中,韩沛能够接触到大量患者,临床经验得以迅速积累,应对复杂问题的能力得到了极大锻炼。

然而医疗设备的匮乏使得很多常见的治疗手段都难以施展。就拿牙体牙髓病的治疗来说,以往当地技术手段极为有限,韩沛所在的支援团队抵达后,引入了热牙胶充填技术。这一技术能更严密地充填根管,大幅提高治疗成功率,让许多长期被病痛折磨的患者得到了更有效的治疗。此外,韩沛及其团队还开展了微创拔牙技术。与传统拔牙方式相比,这种技术创口小、恢复快,极大地减轻了患者的痛苦。
藏区常年有国内各大医院的专家前来支援,这也为韩沛提供了难得的学习契机。专家们带来了先进的医疗技术和理念,韩沛抓住每一次学习机会,虚心向专家们请教。在与专家们的交流中,韩沛开始尝试将先进的治疗方法应用到实际工作中。他参与了多项复杂病例的会诊和治疗,在实践中不断磨练自己的专业技能。在藏区的五年里,韩沛在专业上实现了质的飞跃。他从一个初出茅庐的年轻医生,成长为能够独立应对各种复杂口腔问题的全科医生。这段经历不仅让他在技术上更加成熟,也培养了他坚韧不拔的职业精神和对患者高度负责的态度。

支援期间,韩沛常常目睹当地缺牙藏民因牙齿问题,在生活中遭遇诸多不便。每年春节返乡,看到同样被缺牙困扰的母亲,那份想要为他们出力的决心便在韩沛心底愈发强烈,也让他对口腔种植技术格外上心。
尽管藏区医疗条件有限,但韩沛始终坚信“学无止境”。他充分利用一切能挤出的时间,全身心投入到种植技术的学习与进修中。工作之余,他时常向医院里经验丰富的老前辈虚心请教,不放过任何一个细节,认真汲取他们从医多年积累的宝贵经验;时常思考新技术在藏区有限条件下的可行性,这已然成为他在藏区工作中独特的精神寄托。
“藏民们质朴的笑容和真诚的感谢,是我坚持下去的最大动力。”韩沛回忆道。每当看到藏民与医生们紧紧相握的手,感受着他们眼中的信任和感激,韩沛深刻地体会到了自己工作的价值和意义。
因爱踏上归途 定居成都
在藏区支援期间,韩沛不仅事业上有所成长,还与爱人组建了幸福的家庭。然而,随着孩子的出生,新问题也接踵而至。西藏的高海拔环境让年幼的孩子很难适应,孩子频繁生病。看着孩子稚嫩的脸上因不适而皱起的眉头,韩沛和妻子心疼极了。经过反复考虑,支援期满后,韩沛为了孩子的健康,决定离开藏区。2021年,韩沛支援期满,携全家搬到了妻子的家乡成都,并入职新桥口腔。

从藏区到成都,自然环境的巨大变化让他需要在身体上重新适应。更具挑战的是,他想深耕口腔种植领域。
扎根新桥 专业技术迎来“蝶变”
回到成都后,面对丰富的医疗资源和多元的发展方向,韩沛经过深思熟虑,将目光聚焦于口腔种植领域,决心将其作为自己长期钻研的专业方向。他深知,口腔种植不仅涉及口腔颌面外科、牙周病学、修复学等多学科知识,还需紧跟前沿技术,持续积累临床经验。凭借在医学基础教育阶段打下的坚实基础,以及骨子里那股认真勤奋、永不言败的劲头,韩沛一头扎进种植技术的学习与实践。

在新桥“传帮带”体系的助力下,韩沛跟随经验丰富的前辈们潜心学习,迅速成长。但他总觉得自己掌握的知识还不够多,工作之余,他的身影频繁出现在各类口腔医学培训课堂和学术研讨现场。他学习瑞典Nobel种植系统;通过考核成为德国Bego系统认证医生;参与BLX-即刻种植培训,不断拓宽自己的技术边界;远赴新加坡参加ITI世界研讨会,他与全球顶尖专家交流,汲取最新理念与技术灵感。2024年,在新桥病例大赛中,韩沛凭借扎实积累和灵活运用,一举斩获卓越病例奖。


这期间,他终于有机会亲自为母亲进行种植手术,成功种下4颗牙。看着母亲不再被牙疼困扰,露出灿烂笑容,韩沛内心满是欣慰与自豪。儿时“要让母亲不再牙疼”的心愿,历经岁月沉淀,终于在新桥口腔画上圆满句号。
短短几年,韩沛就完成了令人惊叹的蜕变。从刚接触口腔种植领域的新人,成长为能独当一面的行家。他凭借着不懈的努力与钻研,逐步掌握了单颗、多颗常规种植,前牙美学种植、微创种植、即刻种植,上颌窦内外提升,以及半口全口缺失病例的无牙颌种植修复治疗等一系列先进技术,成为了一名技术全面、经验丰富的口腔种植医生。

截至目前,韩沛已经成功完成超2000颗种植手术。这一数字背后,是无数次精准操作的沉淀,是对每一位患者口腔健康的悉心守护。如今,他承载着更多患者的信任与期待,在口腔种植这条道路上坚定前行。
用专业与温情 “圈”粉无数
“专业是第一位的,但是服务和对患者的关怀同样重要。能评价医生的永远是患者,在与他们沟通时一定要设身处地站在他们的角度去考虑。有时候患者对于种植手术会感到恐惧,那我要尽可能地让他们安心、放心。”

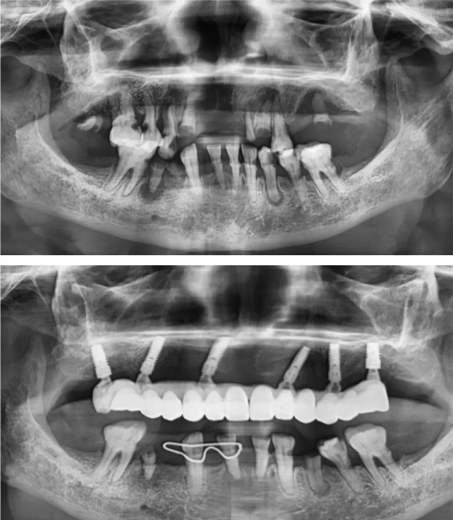
患者术前术后全景片
曾经,一位八十多岁的阿姨,其上牙全是烂牙根,由于就医不便,牙齿问题一直被搁置。韩沛接诊后发现,阿姨骨量极差,骨头很薄,进行半口种植手术存在一定难度。面对复杂的牙齿状况和听不懂的专业术语,阿姨和家属有些慌张与迷茫。
韩沛没有丝毫的不耐烦,与阿姨及其家属进行了多轮耐心细致的沟通,将每一项风险都清晰明确地告知,用通俗易懂的方式讲解有关半口种植的情况,还结合阿姨的自身情况给出了科学合理的应对方案。阿姨和家属被韩沛的专业与负责深深打动,对于手术也不再紧张,最终决定接受手术。
在患者和家属的高度信任下,手术得以顺利开展。术后,阿姨十分满意,生活质量得到了极大提升,她逢人便夸这位韩医生医术高超、耐心又有亲和力。

还有一对老两口,在韩沛这里做常规种植牙。种植过程中,老两口几乎没感觉到疼痛。“就跟自己原来的牙一样,现在吃饭都不恼火了,美得很。”修复后效果绝佳,为表感激,老两口特意送来了锦旗,上面写满了对韩沛的赞誉。
在韩沛这里,专业与温情不是一句空话,而是每一位患者都能真切感受到的关怀。韩沛正是凭借着一次次成功案例,用专业实力和暖心服务,在患者心中树立起良好口碑,收获“铁粉”无数。
从江苏的温柔水乡,到藏区的高原山川,再到成都的繁华都市,韩沛的人生轨迹,是一条充满爱与责任的征途。“走过这么多地方,每一段经历都让我明白,患者的信任有多珍贵,不管未来还有多少挑战,我都不会辜负这份信任。”