妈妈,我的嘴是不是永远闭不上了?三年前儿子的疑问,令张女士至今记忆犹新。2025年寒假,当小嘉(化名)摘下最后一副隐形牙套时,七百多个日夜的坚持终于等到了值得的答案。 小嘉矫正前后侧面照对比 错颌难题……
“妈妈,我的嘴是不是永远闭不上了?”三年前儿子的疑问,令张女士至今记忆犹新。2025年寒假,当小嘉(化名)摘下最后一副隐形牙套时,七百多个日夜的坚持终于等到了“值得”的答案。

小嘉矫正前后侧面照对比
错颌难题 求医无果
三年前,12岁的小嘉本应是朝气蓬勃的年纪,却因一口“龅牙”产生了容貌焦虑,面对同龄人常常感到自卑,还总是不自觉地用校服领子遮住半张脸。

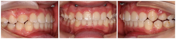
小嘉矫正前正面照、口内照
上牙前突、下颌后缩,重度深覆合深覆盖,更棘手的是后牙锁颌严重影响了他的生活质量。“上下后牙咬不到一起,两边大牙没有对齐,连个面条都咬不断。”妈妈回忆道:“还总是张着嘴,睡觉也闭不上,看着都揪心。”
为了不影响孩子面容美观和自信心的建立,张女士带着儿子咨询了当地多家医院。“好多医生都不愿意接,甚至有三甲医院建议进行正颌手术,但孩子正处于成长关键期,万一有什么潜在风险我们也无法承受。”
跨城求医 难度升级
求医屡屡碰壁的张女士偶然记起一位朋友在新桥口腔工作,经朋友介绍得知,新桥口腔业务院长、资深口腔正畸医生刘姗对处理复杂牙齿错颌矫正颇有经验,或许能提供非手术方案。
抱着一线希望,2022年7月,张女士毅然带着小嘉从自贡来到新桥口腔成都衣冠庙院区就诊。

经过详细面诊和口扫、CBCT检查,刘姗院长指出,小嘉两侧后牙错位,咬合功能严重受损,矫正不仅要改善外观,还要恢复正常的咀嚼功能。此外,长期口呼吸也影响了小嘉的面部发育,加剧了咬合不良的问题。考虑到小嘉是外地患者,复诊不便,刘姗院长决定采用隐形矫正方案:“传统矫正需要频繁复诊调整托槽,而隐形矫正更适合异地患者,但也增加了矫正的难度。”
精准矫正 个性化干预
根据小嘉的情况,刘姗院长为其量身定制了一套矫正方案:拔除三颗牙齿(上颌两颗,左下颌一颗),并采用时代天使冠军版隐形牙套进行矫正。为了增强矫正效果,还在上颌前牙区植入了两颗支抗钉(俗称“骨钉”)。
“隐形矫正器虽然美观舒适,但其矫治力度相对温和,可能导致牙齿移动速度较慢,容易错过青少年生长发育的关键引导期,延长矫正时间,甚至影响最终效果。”刘姗院长表示,小嘉的错颌畸形情况较为复杂,通过在上颌前牙区植入支抗钉,能有效压低上前牙,使门牙收得更多,从而更好地改善面部轮廓。

小嘉矫正中后期口内照
对于支抗钉,许多人“闻钉色变”,其实它并没有想象中可怕。刘姗院长表示,支抗钉的植入是在局部麻醉下进行的,患者几乎不会感到疼痛,术后可能会出现轻微胀痛感,一般半天至一天左右就会消失。且支抗钉的使用可以显著提高矫正效率,帮助患者在更短的时间内获得理想的矫正效果。
两年蜕变 重获自信
令人欣慰的是,矫正结果几乎超出了所有人的预期。历时两年半(期间曾因疫情耽误半年多),如今的小嘉,不仅拥有标准的直面型侧颜,上牙前突和下颌后缩的问题也得到明显改善,因矫正带动了口呼吸习惯自然改善,面容轮廓愈发立体俊朗。
更重要的是,因为咬合功能恢复正常,后牙锁颌的问题消失,现在的小嘉可以轻松咀嚼食物,生活质量大幅提升。

“真的很感谢刘姗院长和新桥口腔团队,不仅技术专业,还特别耐心,每次复诊都让我们觉得很安心,高效的治疗也让孩子愈发开朗、自信。”张女士特别提到,当初选择新桥口腔、选择刘姗院长离不开朋友的推荐,而事实证明,我们这份信任没有错付。

新桥口腔业务院长刘姗
刘姗院长特别提醒广大家长,在青少年成长的关键阶段,一口整齐的牙齿不仅关乎颜值,对于口腔健康、功能改善、预防口腔疾病以及身心健康都有着不可忽视的重要意义。建议家长们时刻关注儿童牙齿发育情况,定期进行口腔检查,对于儿童口腔问题早发现、早治疗。