十岁的彤彤成长于一个高知家庭,爸爸是某知名大厂的高级工程师,妈妈全职在家照料她的饮食起居和学习。这样一个美满幸福的小家庭,却被一个问题困扰多时,那就是彤彤的口呼吸和小下巴。 今年寒假,这块心……
十岁的彤彤成长于一个高知家庭,爸爸是某知名大厂的高级工程师,妈妈全职在家照料她的饮食起居和学习。这样一个美满幸福的小家庭,却被一个问题困扰多时,那就是彤彤的口呼吸和小下巴。
今年寒假,这块心病终于解除了!虽经历了曲折,但结果令人惊喜。让我们一起来了解下彤彤父母和“小下巴”过招的故事吧!
口呼吸三年 鹅蛋脸消失
四岁时,妈妈就发现彤彤有口呼吸的习惯,去三甲医院确诊了腺样体肥大,医生说处于临界值不建议手术,每年复诊观察即可。一晃到了小学,妈妈发现七岁的彤彤脸型没以前好看了,下巴越来越小。“下巴一点都不明显,好像没发育一样。”妈妈从手机里翻出她幼儿园的毕业照,照片上的小姑娘有着一张圆润可爱的鹅蛋脸。

通过网上查询,妈妈这才意识到,持续几年的口呼吸是导致孩子脸型变化的“真凶”!这几年,她的关注点都在鼻炎和腺样体肥大方面,并不知道口呼吸会影响口腔和面型发育。为了治疗鼻炎,中医西医都看了,一到假期就去海边和空气质量好的地方住上一段时间。
“鼻炎好了不少,腺样体也正常了,但她已经养成了口呼吸的习惯,白天也这样……”当时,彤彤妈妈只有一个想法,赶紧去矫正!
慕名求医 爸爸对矫正方案存疑
妈妈带彤彤去了以前补牙的口腔门诊,医生看了说她年龄太小还不能矫正,建议等到八九岁再说。转眼彤彤九岁了,妈妈决定带她去朋友推荐的知名正畸专家诊所求医,工作繁忙的爸爸也挤出时间一同前往。
经过检查,专家告诉他们孩子需要功能矫形治疗,通过一个头戴式的矫治工具导出下颌,建议当天就开始治疗。由于专家时间有限,沟通基本是由其助理完成的,并未对治疗方案和治疗原理进行过多的解释,这让他们感到心里不太踏实。

作为985硕士和资深理工男,彤彤爸爸之前已对早矫做了不少的功课,他对治疗方案提出了自己的一些疑虑,并未得到回答。为了稳妥起见,他们决定暂不治疗,再去问问别的医生。
求医新桥 “另类”治疗不花钱只动嘴
不久后,彤彤妈妈看到小区邻居发朋友圈说,自家孩子完成了乳牙反颌矫正,效果特别好,一问是在新桥口腔看的。因为上次的经历,爸爸对矫正这件事格外谨慎,跟妈妈强调不要贸然开始治疗,就医时一定要他参与把关。
2024年暑假,一家人带着彤彤到了新桥口腔成都蜀汉院区,挂了正畸专科的号,接诊医生是毕业于四川大学华西口腔医学院的口腔正畸学硕士关禹哲。

新桥口腔成都蜀汉院区关禹哲医生
这次就诊和以往有所不同,除了拍片和检查,关医生还仔细查看了他们夫妻的面型,告诉他们诊断结果是:中重度深覆盖、深覆合,轻度下巴后缩。
随后,关医生分析了原因:“牙齿和面型问题受遗传因素影响很大,孩子应该是遗传了爸爸。先天因素加上长期的口呼吸,造成了现在这个情况。”从未关注过自己下巴的彤彤爸爸照了下镜子,有点尴尬。妈妈补充说彤彤奶奶也有这个问题,有严重的龅牙,嘴很突。
关医生告诉他们,彤彤现在的情况还不适合矫治,可以先观察。随后,关医生示范了一个咬上唇的肌功能训练动作,让彤彤每天练习,半年后再来复诊。

彤彤爸爸后来回忆说,“我们本来比较着急治疗,一开始听医生说再等等还是很意外的,后面听了医生的解释才明白其中的原因。以前也没有医生告诉我们要做这个肌功能训练,新桥的医生真的不一样!”
庆幸的是,“久病成医”的彤彤妈妈两个月前已经开始让孩子做肌功能训练了,这是她从网上学来的方法。
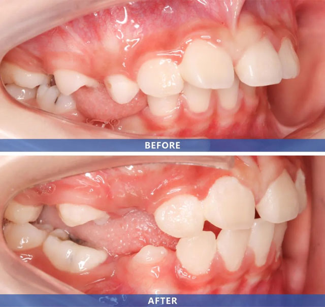
四两拨千斤 半年后下巴明显改善
半年后的寒假,彤彤到院复诊,下巴的形态得到了明显改善,深覆盖、深覆合从中重度变为轻度。关医生让她继续坚持肌功能训练,仍是半年后再来复诊。彤彤妈妈本以为这次肯定要开始治疗了,还特意带上了爸爸余额更多的社保卡,没想到又让她意外了一次。

为什么在长达一年的时间里,关医生只建议彤彤做肌功能训练,不做功能矫形治疗呢?以下是关医生对彤彤治疗方案的详细解读。
【方案解读】
肌功能训练为何能改善下巴后缩?
关禹哲医生:肌功能训练是儿童早矫的辅助治疗手段,它的治疗原理与功能矫治器类似,通过训练相关肌肉达到纠正上下颌骨形态、位置的目的。
深覆盖、深覆合和下巴后缩常常相伴发生,通俗地说就是从侧面看上颌大、下颌小,上牙包住下牙过多。我们的训练动作反其道而行之,是用下牙包住上嘴唇,这个动作可以打开两侧颊肌,舌头向颊侧牙弓及牙齿施加力量,以此达到扩大上下牙牙弓的目的,同时上唇是内收状态,可对上牙施加力量,从而限制上颌牙齿往外过度生长。

为何只做肌功能训练,不佩戴功能矫形器?
关禹哲医生:彤彤换牙偏晚偏慢,门牙牙根还没发育好,如果做矫形,治疗周期会很长,加力不合适会影响到牙根发育;从她的年龄和口颌系统发育阶段来看,今后做功能矫形的时间还很充裕。所以,对她来说当下就佩戴功能矫治器不是必须的,且弊大于利。彤彤正处于下颌骨发育高峰期,经过半年的肌功能训练,深覆盖、深覆合和下巴后缩都得到了明显改善,达到了治疗目的。当然,彤彤的情况只是个例。

对彤彤后续的治疗是如何考虑的?
关禹哲医生:彤彤这样的情况属于II类错颌畸形,上颌下颌都存在一些问题。上颌不仅有深覆盖、深覆合,还有上牙前突。她目前正处于生长发育中,牙弓形态还会变化,可能因为遗传因素的影响变得更加前突,今后可能需要通过拔牙内收牙弓。如果现在就导下颌向前,很可能造成双颌前突,目前这个方案对她来说是最优的选择,后期会根据生长发育情况考虑是否需要用功能矫治器进行扩弓等治疗。

儿童口腔功能矫形治疗需要考虑哪些因素?
关禹哲医生:下巴后缩属于II类错颌畸形,原则上提倡早期干预,但早期干预也需要满足一定的条件,包括牙根发育是否完成,能否移动,后缩是否严重,年龄因素等。如果不能满足以上条件,可能涉及过早、过度治疗,治疗后可能出现反弹的情况。
九岁多的儿童,结合年龄和口颌系统生长发育情况来看,治疗上有很大的弹性空间,要不要矫正,要不要现在就矫正,需要由医生根据实际情况,从最有利于患者的角度去考虑。