种牙真功夫,好口福更幸福!……
今天(2024年6月26日)上午,新桥口腔“零距植击 缺牙重生”数字化种植手术直播在成都衣冠庙院区圆满举行。应广大群众呼声,本次直播规模空前扩大,新桥口腔四城十院候诊区均同步直播了本场种植手术,不仅吸引了一百多位缺牙市民亲自前来,更有近千位观众实时在线,共同围观了39岁的刘先生仅用10分钟实现缺牙重生的全过程,见证了新桥口腔“种牙真功夫”。

活动现场人气爆棚
豪华阵容 彰显种牙真功夫
作为种植直播开展以来规模最大的一次,本次活动重磅邀请了拥有近30年口腔临床经验的新桥口腔成都衣冠庙院区种植专科主任易华波医生担纲主刀,新桥口腔数字化诊疗中心主任、华西口腔种植硕士李丹携手衣冠庙院区咨询主管吴海燕对手术进行同步讲解。

数字化种植手术实时直播观看
手术开始前,李丹主任先介绍了种植顾客基本情况:“刘先生是一位正在进行正畸治疗的顾客,很多年前就因为龋坏导致多颗牙缺失,所以我们在种植时,需要同时考虑牙齿后期位移、固定之间的冲突和矛盾,这无疑增加了种植难度。”为了达到更好的效果,李丹主任表示:“正畸和种植专科医生进行了双重评估,并通过数字化拍片、3D口扫和三维重建,为刘先生定制了专属数字化种植方案。”

李丹主任讲解数字化种植设计
在观众专心致志听讲中,手术室已准备就绪。上午10点24分,直播大屏上开始实时转播易华波主任术中的每一个细节——从局部麻醉到创口预备,再到种植体精准植入,最后缝合创口,他用近30年口腔临床经验,为大家展示了一场高水平的“种牙真功夫”。

李丹主任携手吴海燕主管现场直播讲解
与此同时,李丹主任和吴海燕主管跟着手术的每一个关键步骤,为观众们深入浅出的讲解了其中的操作要点。吴海燕主管表示:“新桥口腔开展种植牙治疗十余年,积累了10万多成功种牙案例,由此总结出的种植牙‘十项金标准’,不仅是行业种植操作标杆,也完全可以作为广大缺牙市民甄别好坏种植牙的标准,希望大家都能选择适合自己的种牙机构和方式,重拾好口福。”
仅10分钟 刘先生完成缺牙新生
整个手术从开始到完成仅仅用了10分钟,在大家热烈的掌声中,易华波主任和刘先生重回直播现场。

易华波主任和刘先生合影

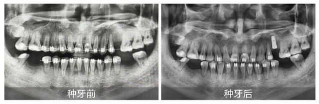
刘先生术前术后全景片对比
虽然麻醉还未完全褪去,但刘先生面色轻松,他用止不住兴奋的语气说道:“完全不痛,全程非常舒适,感觉非常好!”

刘先生术后分享种牙体验
易华波主任对本次手术进行了简单总结并表示:“顾客对手术的未知与不确定,是恐惧种牙的根源。而将手术全过程以直播的形式向大家展现,让大家看到我们医生是怎么做的,手术是怎么进行的,这对于建立良好的医患关系,提升彼此之间的信任起着非常重要的作用。”

易华波主任术后案例总结
种而言之 全口种牙顾客现身说法
活动现场,两位新桥口腔顾客向大家分享了自己全口种牙的亲身体验。满头银发但精神矍铄的王叔叔表示:“刚开始接触种植牙的时候我有很多顾虑,担心手术过程会不会很漫长、很痛苦,对于种植手术也是一知半解。多方比对后我还是选择相信新桥口腔的专业实力,没想到种牙的时候完全不痛,后面使用效果也非常好,我非常满意!”方先生则讲述了自己因为口腔情况复杂、种牙难度大被很多口腔医疗机构拒绝的经历,他表示:“最终还是在新桥口腔重获了一口好牙,所以就在昨天,我带着我的父母都来做了全口种植,结果非常成功!”

全口种牙顾客分享
新桥口腔品质传承二十年,始终坚持以专业实力立根,凭借过硬的医疗实力成为西部种植行业领跑者。未来,新桥口腔也将继续发挥自身优势,让更多缺牙市民体验“种牙真功夫”,重拾好口福!