近日,新桥口腔光华店收到了顾客邓永兰女士发来的特别消息:一首工整的七言诗和一段充满喜悦之情的短文。 诗和短文,都是由邓女士的丈夫余先生所作,他一路陪伴爱人看牙、种牙,几乎……
近日,新桥口腔光华店收到了顾客邓永兰女士发来的“特别”消息:一首工整的七言诗和一段充满喜悦之情的短文。


诗和短文,都是由邓女士的丈夫余先生所作,他一路陪伴爱人看牙、种牙,几乎走过了和邓女士相同的心路历程。洋洋洒洒千余字,不仅道出了邓女士昔日缺牙的尴尬沮丧,更让人感同身受的体会到所有缺牙人在种牙前的纠结忐忑,和成功种牙后如释重负的幸福心情。也正因如此,新桥君想要和大家分享这个充满曲折又拥有完美结局的真人种牙故事。
岁月不败美人,但美人总怕缺牙
邓女士今年56岁,在和她接触过的医护人员看来,她人美、喜欢自拍、热衷唱歌跳舞,是一位非常有活力、很时尚的阿姨。但遗憾的是,长期缺牙和佩戴活动假牙,不仅让邓女士在生活上感到诸多不便,还“几十年来欲笑难露齿,憋屈又难耐”。

年轻时的邓女士,是一位不折不扣的美人

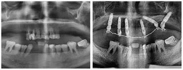
邓女士种牙前全景片

多颗牙缺失+牙周病
让她嘴角干瘪,前牙外凸,严重影响面型
好友引路,她邂逅新桥口腔
邓女士表示,因为前牙越来越凸,她不仅变得不爱笑了,心情也越发沉重。自己也曾到处就医,但去过的口腔医疗机构要不解决不了她的问题,要不就不能取得她的信任。兜兜转转,终于在一次聚会中,因为好朋友的推荐,邓女士为她的牙齿问题找到了转机。
回忆起与新桥的第一次相遇,余先生这样写到:

余先生夫妇眼中“独具匠心”的设计,其实是一个美丽的误会,在此之前,还没有人发现过这个巧合。但也正得益于这份细心,才命运般的开启了邓女士和新桥口腔的不解之缘。
为求皓齿露人前,不吝巨资不拖延
随着对新桥口腔的深入了解,无论是就诊环境、服务态度还是医生资质,都得到了余先生夫妇的一致认可。

经过全面的检查和细致的沟通,新桥光华店种牙团队为邓女士量身定制了半口即拔即种-即刻负重修复方案,通过在上颌种植6颗植体,即可恢复12颗牙齿的咀嚼功能。面对超出预期的治疗费用,夫妻俩断然拿出了自己房子的部分装修款。而这样坚决的原因,余先生用自己潇洒的人生态度做了最好的注解。

半口种植,十余人团队倾力服务
曾经有人问新桥君,为什么半口/全口即刻种植价格那么高?但无论怎么解释,都不如亲眼见过的人理解更深。

从上午九点到下午六点半,为了帮助邓女士种好牙,光华店医护团队十余人倾尽全力,一刻也不敢懈怠。在一旁陪伴爱人种牙的余先生见证了全部过程,感受到了他们的“心血”和“关心”,才会在手术结束后发自肺腑的感慨:不是一家人,甚是一家亲。
红唇皓齿,她终于找回年轻的自己
种好牙当晚,邓女士一回到家,就迫不及待地涂上美美的口红,发朋友圈和亲友们分享自己的好牙和好心情。但很少有人知道,那一刻开心如小女孩的她,内心翻涌的感慨:这一口好牙,她已等待太久太久。对未来,她有着无限美好的期待!

一口好牙,可以带来如此惊人的变化!它不仅让人重拾口福,也让人青春重现。

邓女士种牙前后面部对比

邓女士种牙前后面部对比

邓女士种牙前后侧面对比

邓女士种牙前后侧面对比

邓女士种牙前后全景片对比
最后,我们还要向余先生和邓女士夫妇道一声诚挚的感谢,你们的信任和有爱的留言在这个冬天让所有新桥口腔工作人员心里很暖!在2020年即将到来之际,也祝所有缺牙顾客在新的一年里:上新桥种好牙,好口福更幸福!